Resultados
La calidad nunca es un accidente, es el resultado de la preparación
Con más de 10 años de experiencia, con el apoyo de la mejor tecnología y capacitación constante nuestro objetivo es innovar tu sonrisa.
Los resultados en tu sonrisa hablan por si solos, no tires tu dinero y tu tiempo que es tan importante. ¡Ven a conocernos!
Deja en buenas manos tu tratamiento de ortodoncia, contamos con diferentes sistemas como el de autoligado donde el diente se mueve muy rápidamente evitando molestias al paciente durante el tratamiento.
Los resultados en tu sonrisa hablan por si solos, no tires tu dinero y tu tiempo que es tan importante. ¡Ven a conocernos!
Deja en buenas manos tu tratamiento de ortodoncia, contamos con diferentes sistemas como el de autoligado donde el diente se mueve muy rápidamente evitando molestias al paciente durante el tratamiento.
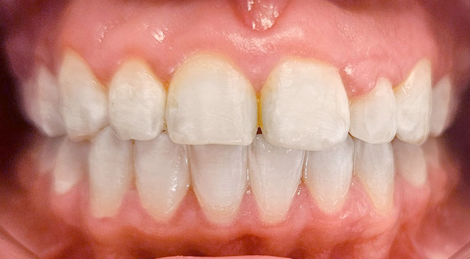
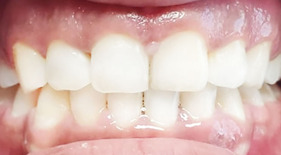
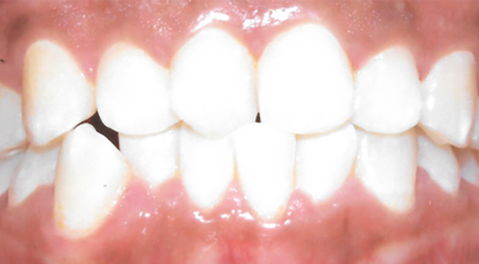
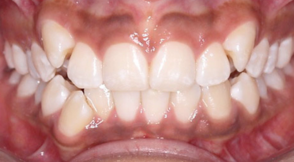
Te compartimos unos casos de éxito con tratamiento de brackets de autoligado.
Te presentamos a algunos de nuestros pacientes que con exito han transformado su dentadura y mordida para hacerla funcional y estética.
NOS ESPECIALIZAMOS EN
Rehabilitación oral, ortodoncia e implantes dentales
Llevamos el historial clínico de cada uno de nuestros pacientes de forma muy personalizada, el cual nos permite llevar un control y tratamiento adecuado.
Reserve una cita en línea - ¿Necesita confirmación inmediata? Llámanos al 33 1071 9742